[결혼, 임신] - [임신 8주 - 10주] 초음파 사진 (+ 임신초기 증상들, 입덧지옥과 입덧약 처방 받은 후기)
[임신 8주 - 10주] 초음파 사진 (+ 임신초기 증상들, 입덧지옥과 입덧약 처방 받은 후기)
임신초기 증상들 8주까지 나한테 크게 나타났던 임신 증상들은 1. 턱드름 폭발 2. 아침 공복에 구역질, 구토 3. 목구멍 이물감 4. 배 콕콕 이었다. 공복일 때 속이 너무 안좋아서 아침을 잘 챙겨먹
ttottoro.tistory.com
11주 5일
1차 기형아 검사를 받으러 갔다.
1차 기형아 검사는 10주에서 13주 사이에 이루어지며
2차 기형아 검사는 보통 14주에서 17주 사이에 이루어 진다고 했다.
목투명대 검사
첫 검사는 정밀 초음파 검사실에서 이루어지는 목투명대 검사였다.
정밀 초음파를 볼때는 담당 원장님께서 직접 보시는게 아니고
정밀 초음파 검사실에 계시는 선생님께서 봐주셨다.
(정밀 초음파 결과가 담당 원장님께로 전송되서 담당 원장님과도 바로 또 따로 면담시간을 가졌다.)
여튼, 이상하게 처음 심장소리 들으러 간 날만큼 긴장되지는 않았다.
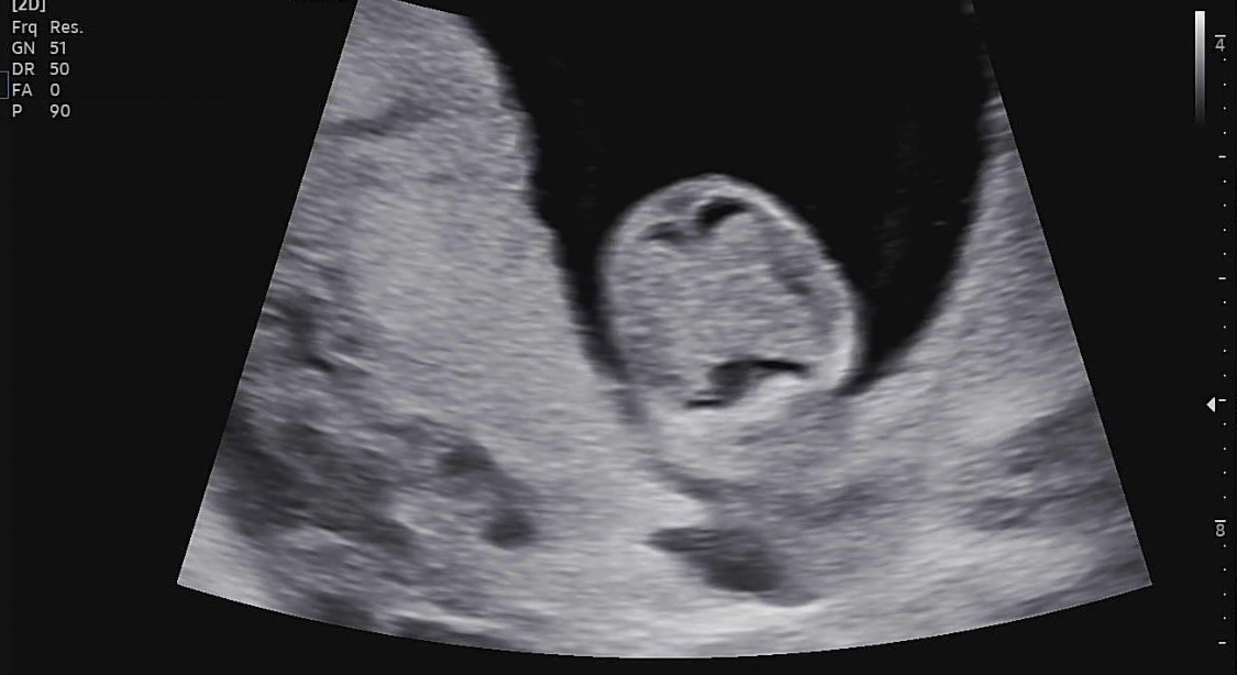
목투명대 길이 정상범위는 3mm 미만인데 1.05mm가 나왔다.

그리고 주수에 맞게 잘 크고 있었다.

비어있던 머리 공간도 어느새 나비가 자리잡고 있었다.

입체 초음파도 찍어주셨다.
너무.. 사람 같았다.
너무 다커서 벌써 나와도 될것 같았다.

혈액검사
간단하게 담당 원장쌤 면담 후 혈액 검사를 받기위해 피를 뽑으러 검진센터로 갔다.
혈액 검사 결과는 2차 기형아 검사까지 끝나고 받을 수 있다고 했다.
1차와 2차 혈액 검사 결과(기형아검사결과)를 종합해서 결과를 통보해주는 모양이었다.

1차 기형아검사 비용
약 7만원 정도 결제한 것 같다.
산부인과 비용 결제시 주의할 점
어떤 검진때문에 비용을 지불하는지 꼼꼼하게 확인해야 겠다고 생각했다.
비급여 진료항목이 껴있는 날과 없는 날의 비용차이가 크다.
검사가 많다보니깐 처음에는 오늘은 많이 나왔나보다 하고 별 생각없이 지불을 했다.
그러던 와중에 진료비가 잘 못 결제된 것을 알게되었다.
연세아란산부인과의 경우, 같은 건물에 내과와 소아과도 있는데
갑상선 관련 검사(혈액검사) 때문에 내과(와 검진센터)에 방문해야 하는 상황이었다.
산부인과에서는 오늘 혈액검사가 있으시네요 하면서 5만원 정도를 청구했다.
내과에서도 내과 진료 후 5만원을 청구했다.
알고보니 산부인과 원무과에서 갑상선 관련 혈액검사인지 모르고 비용을 청구한거였다.
모를뻔 했는데, 내과 관련 진단비용이라면 보험 청구가 가능해서 진료비 세부내역서를 받으려고 알아보다가 알게되었다.
원무과에서 확인하시고 바로 환불조치 해주셨다.
'포도 이야기 > 임신' 카테고리의 다른 글
| [임신 23주-27주] 태교여행, 임신중기 증상, 입체초음파+비용, 임당검사+재검사, 철분부족 (0) | 2021.12.07 |
|---|---|
| [임신 20주-22주] 입덧 끝, 정밀 초음파 검사 및 압박스타킹 처방 (0) | 2021.11.12 |
| [임신 17주 - 19주] 초음파 사진, 첫 태동, 독감백신 접종, 불면증 (0) | 2021.10.09 |
| [임신 13주 - 16주] 2차 기형아 검사, 성별 확정, 끝나지 않은 입덧 지옥, 철분제 복용시작 (0) | 2021.10.04 |
| [임신] 태몽, 태명, 그리고 각도법 (0) | 2021.10.03 |
| [임신 8주 - 10주] 초음파 사진 (+ 임신초기 증상들, 입덧지옥과 입덧약 처방 받은 후기) (0) | 2021.09.17 |
| [임신 6주 - 7주] 조리원 예약에서 임밍아웃까지! (0) | 2021.09.16 |
| [임신 1주 - 5주] 임신 준비부터 아기집 확인까지 (0) | 2021.09.13 |